
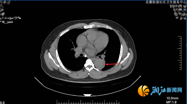
图说:胸部CT平扫纵隔窗提示胸主动脉增宽,管腔内弧形低密度影。
湘江新闻网12月16日讯(湘江融媒记者 何丹 通讯员 唐亚成)40岁的赵先生(化名)未曾想到,一次被误认为普通感冒的持续咳嗽,竟让他与死神擦肩而过。
近日,因持续性咳嗽数日,赵先生到岳麓社区卫生服务中心全科门诊,自认为只是感冒,希望开些止咳感冒药即可。然而,接诊医生在询问病史时发现,他有高血压病史且长期未规律服药,血压控制情况较差。这一关键信息立即引起医生高度警惕,随即将其收治入院。
入院后监测显示,赵先生血压高达180/120mmHg(右侧)、180/116mmHg(左侧)。尽管患者并无明显胸闷、胸痛等典型症状,医护人员仍迅速完善胸部CT等相关检查。放射科主任张诗颖通过影像学表现进行专业判读,提示高度疑似主动脉夹层,相关结果立即引起医护团队的高度警觉。
在患者双侧血压基本对等、缺乏典型疼痛表现的情况下,住院部医师结合其高血压长期控制不佳的病史及放射科阅片意见,第一时间向患者及家属详细说明病情风险。
起初,赵先生对转院排查十分抗拒。经医护人员反复、耐心沟通,最终赢得了患者及家属的理解与配合。中心随即启动急危重症转诊流程,联系中南大学湘雅二医院并快速完成转送。经上级医院进一步检查,赵先生最终被确诊为主动脉夹层。所幸发现及时、转诊迅速,一场可能发生的灾难得以避免。
“胸痛未必都是心梗,咳嗽也可能隐藏致命的血管危机。”该中心综合住院部负责人李颖主任提醒,主动脉夹层堪称症状的“伪装者”,部分患者并无典型剧烈胸痛,反而可能以咳嗽、背痛等非特异性症状就诊,极易与感冒等常见疾病混淆。尤其在流感高发季节,更考验基层医疗机构对急危重症的早期识别能力。
此病例也警示广大群众,尤其是高血压等心血管疾病高危人群,一旦出现不明原因的不适症状,应及时就医,切勿掉以轻心。
近年来,岳麓社区卫生服务中心持续推进急性胸痛救治体系建设,不断强化基层急救能力。今年10月,中心“胸痛救治单元”顺利通过国家级验收,院内急救流程进一步规范,医疗设备和专业队伍建设持续加强,通过多学科协作与快速转诊机制,为辖区居民生命健康筑起更加坚实的安全防线。
来源:湘江新闻网
作者:何丹 唐亚成
编辑:吴戍疆
本文为湖南湘江新区新闻网原创文章,转载请附上原文出处链接和本声明。
本文链接:https://www.hnxjnews.cn/content/646956/50/15544894.html
